
因為小雪腎指數升高
茉莉大健檢時間快到了
古錐和墨墨要複診膀胱狀況
討論過後,決定一次累
一次帶四喵一起去看醫生
關於要做的檢查有先和醫生討論過
四隻幾乎都要驗尿
所以前一天晚上給了罐頭水
要檢查當天一早就爬起來再給一次罐頭水
然後把貓砂盆收掉避免她們跑去尿尿
因為膀胱要脹尿做檢查
飲食的部分不要吃得很飽去做即可
我跟古錐拔一人提著兩籠,浩浩蕩蕩往醫院出發
也跟醫師約了一大段時間下來

還跟醫師說你是第一位一次遇到我家四隻的XD
今天重頭戲是小雪和茉莉
小雪一臉厭世(誤
3.9kg

今天檢查目的是腹部超音波跟驗尿確認腎臟狀況
肚子又要一片光了

小雪掃超音波都很乖

其實今天看診的不是小雪的腎臟科醫師
我們家在這看診已經很久了(7~8年)
有固定給幾位醫師看診
只是跟腎臟科醫師的班遇不到,所以先讓王瑋婷醫師掃超音波後再把影像跟李芳儀醫師討論

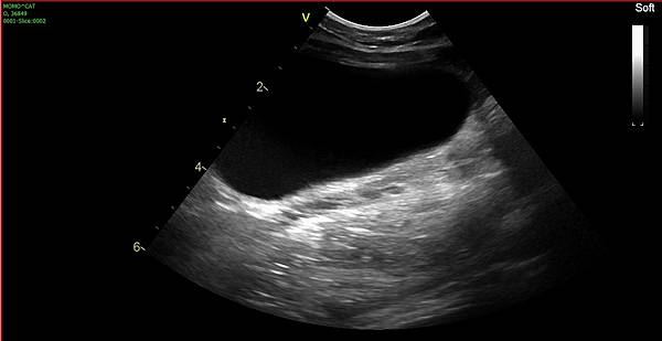
醫生一掃小雪的腎臟
對於嚴重的囊泡是一陣驚呼,還蠻嚴重的...
媽媽我則是蠻淡定
肚子的結果大概是
肝臟囊泡變多了也變嚴重了,約有四個小囊泡→去年以往只有一顆
雙側的腎臟囊泡也變嚴重,現在已經無法計算大小和數量了
左腎大小6cm

右腎大小4cm

兩側都有血流,右腎狀況明顯比左側好
之前蠕動有問題的十二指腸看起來是正常的

整體來說是壞消息
我當下覺得,其實以前就知道腎臟狀況一定只有變差的份
還能跟醫師開玩笑說也不能怎麼辦,基因問題

回家後仔細想想很難過
才一年的時間就急速惡化
囊泡壓迫了腎臟結構,所以反應在腎指數上...

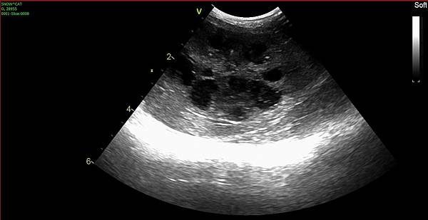
掃完小雪後換茉莉
最近耳朵比較髒,所幸做了檢查後沒有感染的狀況
今天還做了血液檢查和掃腹部超音波
還要抽尿做細菌培養排除感染的問題
心臟超音波等下次在做,今天卡太多事情與時間了

家裡是小霸王的茉莉出門都變超乖
3.3kg

超音波結果是:
膽囊偏大,而且膽泥有淤積但不嚴重,可以先觀察,等下次追蹤心臟超音波時再一併評估要不要吃藥
但雙側腎臟發現有小結石的影像,都非常小
左側腎臟比右邊多一點
脾臟之前看到的高回音性白點沒有特別再發現
以往追蹤的時候沒有看過結石,上次拍X光的時候也沒有看到
醫生說也只能觀察
問了醫師能溶解結石的泌尿處方會不會有幫助?
醫生說幫助不太大...
因為能溶解的是磷酸銨鎂結石,腎臟結石往往都是草酸鈣
無法溶解...
只能先追蹤.gif&ver=20250714)

因為上次做SDMA檢查的時候已經驗過血球正常
這次只有做生化15項
報告都是all pass!!.gif&ver=20250714)

一個一個來
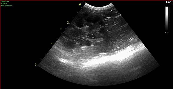
終於換到古錐了!
6.9kg(有點復胖...)

古錐之前在小雪生大病的時候曾經膀胱炎過
經過治療痊癒後停藥
今天一起看一下膀胱超音波

不看還好一看糟糕

膀胱裡面蠻多亮晶晶的懸浮物
可能是尿沙

自從他們倆個膀胱炎過後
每天的罐頭水不敢偷懶
但古錐就是乾乾控,罐頭水要吃不吃的
攝取的水量沒有墨墨那麼好
回家又要頭疼餵水了.gif&ver=20250714)

終於換最後一個
墨墨 4.95kg(終於阿!!)

基本上阿墨在醫院算是我家的大魔王
曾經有主動從我們身上衝出去攻擊醫護人員的紀錄
一失控連我們都無法安撫他
所以他看醫生我們都要全副武裝
頭套是必備用品
連掃超音波的剃毛都先在家裡做好
不想他在醫院折騰太久
他辛苦我們也累

於是乎整個過程就是讓阿墨全程只有看到我跟古錐拔
用頭套阻擋他的視線,讓他無法看到醫生
因為全程緊繃
導致回想過程中有點好笑XD

墨墨自從發生過自發性膀胱炎,當時治療還是反覆發生
媽媽最後只能覺悟
依照醫師建議給了泌尿道處方飼料後才穩定下來
從此不敢斷處方飼料和泌尿道保健品-利尿通
但也因為忙碌/墨墨狀況也不錯,遲遲沒回診評估停藥跟處方
今天終於有時間帶他來
他的膀胱狀況非常好
超音波底下只有一點點,幾乎是沒有尿沙

今天抽尿送驗沒有細菌的話,就能停掉處方飼料和保健品了
其實直接停也可以
但我們比較謹慎,希望一步一步來
畢竟當初的膀胱炎地獄真的很可怕
寧願多花一點時間和檢驗
也不要太貿然導致太多不確定因素
因為
希望她們都好好的

對啦...
今天讓我最緊張的大魔王就是抽尿
要用一根針筒插到膀胱裡抽尿.gif&ver=20250714)
阿母心裏一直無法接受抽尿這件事情
寧願花時間接尿也不想抽尿
醫生幫我做了很久的心理建設
今天要面對,真的很可怕
只能一直和醫生聊天降低心裏的不安...

連蔣蔣都躲在我的手裡逃避事實
結果醫生把一切都準備好後
迅雷不及掩耳的速度把抽尿完成.gif&ver=20250714)
我家小孩也沒什麼反應
讓我覺得我自己好像反應過度了...(遮臉
醫生說我其實讓她壓力很大.gif&ver=20250714)
國外幾乎都是用抽尿的方式在收集尿液
第一過程快速
第二是不會有汙染的問題
做檢驗才比較準確
只是台灣很多人無法接受這樣的方式(例如本人我)
但經過這次之後我絕對會大大宣揚抽尿的好處der.gif&ver=20250714)

連小雪都淡定
所以一隻抽完換一隻
本來只有茉莉和墨墨要抽尿
小雪我打算回家慢慢收
因為前面非常快速且溫和的完成
那兩枚也沒什麼反應
所以就把小雪一起解決了


茉莉的尿做了尿檢和送外面實驗室做細菌培養

尿檢很快就出來
尿檢看到紅血球沒有看到結晶,因為平常沒有症狀,先等細菌培養報告出來再說
尿檢NT:300 / 細菌培養 NT:1200

墨墨尿檢
尿液偏鹼了一些,但沒有看到結晶
也是另外送外面做細菌培養

小雪的尿則是做了尿檢和UPC
UPC要檢測尿中有無蛋白漏出進而知道腎臟狀況
今天UPC也是在正常範圍.gif&ver=20250714)

尿檢也都正常
實際還是要給主治醫師看過後討論

因為小屁孩們都待在醫院好幾個小時了
決定先把她們帶回家後再來聽報告(她們也憋很久的尿了

小雪今日的報告和醫生討論後結論是
- 之後要收尿做尿比重,確認腎臟濃縮尿液的功能
- 因為腎臟惡化快速,要量血壓評估給尿蛋白的藥
- 要確實把氫氧化鋁跟食物一起吃確定降血磷的效果,或是改吃雷西磷或樂寵克磷
- 改吃低蛋白飲食,腎處方濕糧或是乾糧
- 食物改變一兩周後要再追血球、GGT、NH3、Bun、Crea、Phos,決定治療用藥,HCT偏低要確認是否跟肝功能下降有關係
腎臟病會導致貧血,但肝功能不好的時候也會,要排除是哪個因素造成。 - UPC等需要吃降血壓藥物時1~2周再驗
- 腹部超音波因為變化不會那麼大,可以一個月後再追蹤

古錐這次沒做到尿檢
膀胱的部分討論後決定先做預防性治療
收尿做尿檢後決定如何處理
但要多注意喝水量,擔心又有膀胱問題

墨墨就等報告出來再停泌尿處方飼料,如果沒細菌就可以換成一般食物
利尿通在換成一般食物後兩個禮拜,追蹤膀胱狀況後再評估停掉

為什麼茉莉可以拍得如此臭臉.gif&ver=20250714)

一個月後掃心臟超音波時再看膽囊狀況
腎結石只能追蹤和多喝水
雖然血液檢查都正常,還是要多注意
茉莉要邁向16~17歲了
希望一切安好

現在很怕會遺漏醫生交代的事項
盡量把要做的檢查表單列好
不然一大陣仗很容易忘東忘西

例如應該要讓醫師把古錐的尿抽一抽
直接知道膀胱狀況

例如
回到家才想到
她們最近該打預防針了(昏
不管如何
希望你們平平安安
健健康康
我跟古錐拔會努力賺錢的....gif&ver=20250714)

107.02.02
留言列表
認養網站